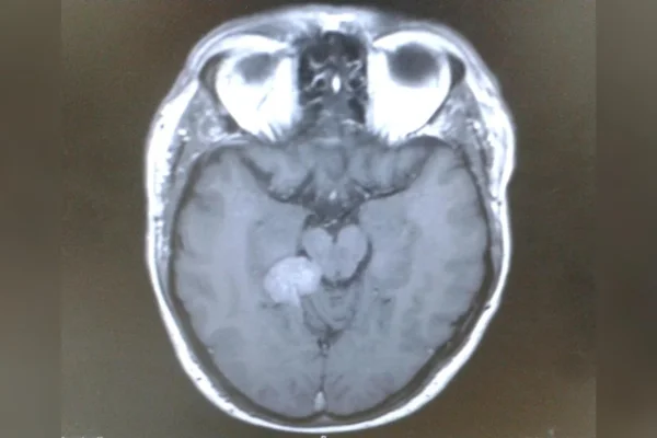
Homem descobre tumor cerebral após ficar 2 anos ouvindo zumbidos Ouvir 19 de dezembro de 2025 Tumores cerebrais costumam se desenvolver de forma silenciosa, sem sintomas claros nas fases iniciais. Em muitos casos, os sinais aparecem de forma pouco específica e podem ser confundidos com problemas rotineiros. Para Darren Harris, britânico de 59 anos, o único alerta por quase dois anos foi um zumbido constante no ouvido. Morador de Paignton, no sul da Inglaterra, Darren conviveu com o incômodo sem imaginar que o som persistente estava ligado a algo mais sério. O zumbido, conhecido clinicamente como tinnitus, é relativamente comum e pode ter diversas causas. Diagnostico do tumor cerebral Após relatar o zumbido a médicos, Darren foi encaminhado para um teste auditivo de rotina. Alguns tratamentos chegaram a aliviar o desconforto, mas os profissionais decidiram investigar mais a fundo. Exames de imagem foram solicitados em sequência, o que aumentou a apreensão do paciente. “Eu sabia que algo estava errado, mas ninguém conseguia me dizer o que. A equipe da ressonância magnética não pode discutir os resultados, então a cada consulta eu saía frustrado e preocupado”, contou ele ao site do Brain Tumour Research. A confirmação veio em março de 2015. Após ser encaminhado a um neurocirurgião, Darren recebeu o diagnóstico de um meningioma tentorial em estágio inicial. Trata-se de um tumor geralmente benigno e de crescimento lento, que se desenvolve a partir das meninges, as membranas que envolvem o cérebro. No caso dele, a lesão estava localizada na base do cérebro, em uma área considerada inoperável por causa dos riscos do procedimento. Leia também Saúde Neurologista explica sintomas comuns que podem indicar tumor cerebral Saúde Visão dupla em voo leva jovem de 24 anos a descobrir tumor cerebral Saúde Menino de 6 anos morre após tumor cerebral ser confundido com cansaço Saúde Com dor de cabeça frequente, mulher descobre tumor cerebral de 15 anos Apesar de não ser canceroso, esse tipo de lesão pode causar uma série de sintomas ao pressionar estruturas cerebrais e nervos. Entre eles estão zumbido no ouvido, dores de cabeça, alterações na visão, perda auditiva, diminuição do olfato e dificuldade para engolir. Se não tratado, pode se tornar potencialmente fatal. Tratamento Sem a possibilidade de cirurgia convencional, Darren recebeu a opção de se submeter à radiocirurgia com Gamma Knife, uma técnica avançada que utiliza centenas de feixes de radiação concentrados para destruir células tumorais com precisão milimétrica, preservando o tecido saudável ao redor. “Eles fixaram uma estrutura metálica no meu crânio para me manter imóvel, mapearam o tumor em três dimensões e atingiram exatamente o ponto necessário”, conta Darren, que é analista funcional de TI. O tratamento custou cerca de 35 mil libras, o equivalente a aproximadamente 220 mil reais. Darren conseguiu realizar o procedimento graças a um plano de saúde privado, mas destaca que muitas famílias não teriam condições de arcar com esse tipo de custo. 2 imagensFechar modal.1 de 2 O meningioma é um tumor geralmente benigno, de crescimento lento, que se forma a partir das meninges, as membranas que envolvem o cérebro Divulgação/Brain Tumour Research 2 de 2 A confirmação veio em março de 2015, quando ele foi encaminhado a um neurocirurgião Divulgação/Brain Tumour Research Embora o tratamento tenha sido bem-sucedido no controle do tumor, Darren passou a lidar com novos desafios de saúde. Ele desenvolveu epilepsia e foi diagnosticado com fibrilação atrial, uma arritmia cardíaca associada ao estresse causado pelas convulsões. Desde então, precisou passar por diferentes procedimentos cardíacos e convive com efeitos neurológicos permanentes, como alterações visuais e formigamento no lado esquerdo do corpo. Ainda assim, considera-se um sobrevivente. “Completar dez anos desde o diagnóstico nunca foi algo garantido para mim. Sei o quanto sou sortudo por ainda estar aqui, graças aos tratamentos e ao conhecimento disponíveis hoje”, afirma. Para ele, a experiência reforçou a importância do investimento contínuo em pesquisa. Darren acredita que histórias como a dele mostram como sintomas aparentemente simples não devem ser ignorados e como o avanço da medicina pode mudar trajetórias que, à primeira vista, pareciam sem saída. “Nem todos têm a mesma chance. Por isso, apoiar a pesquisa é essencial para que mais pessoas tenham acesso a diagnósticos precoces, tratamentos eficazes e, no futuro, à cura”, conclui. Notícias
Notícias Adoçante presente em produtos diet pode afetar o coração, diz estudo 30 de dezembro de 2025 O aspartame é um adoçante artificial presente na composição de produtos “diet”, “ligth” e “zero açúcar”, incluindo refrigerante e até gomas de mascar. O uso dele se popularizou pela promessa de reduzir as calorias, substituindo o açúcar e diminuindo o risco de obesidade e diabetes tipo 2. No entanto, um… Read More
Notícias A Psicologia Digital: Entendendo o Impacto da Tecnologia em Nossa Saúde Mental 9 de julho de 20259 de julho de 2025 A psicologia digital é um campo de estudo que tem ganhado cada vez mais atenção nos últimos anos, à medida que a tecnologia se torna uma parte integral de nossas vidas. Com o aumento do uso de dispositivos móveis, redes sociais e outras plataformas digitais, é fundamental entender como essas… Read More
Notícias Pacientes voltam a engordar pós-bariátrica: o que explica o efeito? 8 de outubro de 2023 Um novo estudo realizado pela Universidade de São Paulo (USP) identificou que aproximadamente 92% dos pacientes voltam a ganhar peso após a cirurgia bariátrica. A pesquisa mostrou que há uma recuperação de pelo menos 20% do peso perdido com o procedimento, após dois anos do procedimento. A pesquisa foi realizada… Read More