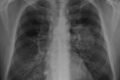
Mulher que fumava desde os 8 anos larga cigarro após descobrir câncer Ouvir 30 de agosto de 2023 Fumante desde os 8 anos de idade, Elcina da Silva Soares, 75 anos, descobriu um tumor no pulmão em fevereiro deste ano. Foram 67 anos fumando ininterruptamente até receber o diagnóstico de câncer de pulmão e decidir que nunca mais tocaria em um cigarro. Nascida em Orizona, cidade a 137 km de Goiânia (GO), Elcina conta que fumava para afastar o medo. Quando criança, ela e o irmão mais novo iam ainda de madrugada para a plantação de arroz da família para garantir que os pássaros não comeriam a colheita. “A gente acordava para cuidar da plantação, se não os passarinhos comiam tudo. Nós ficávamos com medo de ficar naquele lugar e fazíamos fogo, um lanchinho, fumávamos. Naquela época, era fumo de rolo”, recorda. Leia também Saúde Câncer de pulmão: saiba sinais da doença que matou Aracy Balabanian São Paulo Paciente com câncer em SP é primeiro a fazer autotransplante de pulmão Saúde “Descobri um câncer no pulmão aos 50. Nunca tinha fumado”, diz médica Mundo Câncer de pulmão: novo remédio reduz risco de morte em 51% Desde então, o cigarro está presente em sua vida. Já adulta, Elcina fumava aproximadamente uma carteira de cigarros por dia. “No fim de semana, quando eu bebia, fumava três, quatro, até mais carteiras porque quando a gente está bebendo, é acendendo um cigarro no toco do outro”, lembra. “Tive muita vontade de parar, mas o cigarro fazia parte da minha vida. Era triste, às vezes até toco de cigarro eu pegava das pessoas para fumar. Não tem coisa pior do que o vício”, afirma. Elcina da Silva Soares descobriu o câncer no pulmão em fevereiro deste ano. Desde então ela optou por largar o cigarro Tabagismo e câncer de pulmão O cigarro está associado a 90% dos casos de câncer de pulmão em todo o mundo. Ele também é considerado um fator de risco importante para doenças como o câncer de laringe, traqueia, faringe, tumores de cabeça e pescoço, enfisema pulmonar, bronquite crônica e demais problemas que afetam as vias aéreas superiores. “Quando o paciente fuma por muito tempo, os cílios do pulmão vão endurecendo e perdem a função de filtragem”, explica a pneumologista Gilda Elizabeth, do Hospital Brasília Unidade Águas Claras. De acordo com a médica, o tabagismo na infância traz riscos adicionais, uma vez que ele pode levar à inflamação dos brônquios, tornando a criança mais suscetível a infecções virais e pneumonias. “Ela fica com o sistema imunológico mais comprometido”, afirma a pneumologista. Na maioria dos casos, os sintomas acabam sendo silenciosos até que o quadro já esteja avançado. Para Elcina, foi uma febre causada pela infecção do coronavírus em fevereiro deste ano que fez os médicos descobrirem a doença. Uma tomografia dos pulmões mostrou a presença de uma massa que obstruía parte do brônquio. “Todos os médicos me disseram que se eu não tivesse tido Covid-19, morreria de câncer sem saber porque não senti nada. Um deles me disse ‘dona Elcina, a senhora teve a Covid-19 para te avisar do câncer de pulmão’”, lembra. ***desenho-câncer-de-pulmão O câncer de pulmão é o segundo mais comum em homens e mulheres no Brasil. De acordo com o Instituto Nacional de Câncer (Inca), cerca de 13% de todos os casos novos são nos órgãos Getty Images ***foto-câncer-de-pulmão No fim do século 20, o câncer de pulmão se tornou uma das principais causas de morte evitáveis no mundo Getty Images ***foto-câncer-de-pulmão O tabagismo é a principal causa. Cerca de 85% dos casos diagnosticados estão associados ao consumo de derivados de tabaco Getty Images ***foto-câncer-de-pulmão A mortalidade entre fumantes é cerca de 15 vezes maior do que entre pessoas que nunca fumaram, enquanto entre ex-fumantes é cerca de quatro vezes maior Getty Images ***foto-câncer-de-pulmão A exposição à poluição do ar, infecções pulmonares de repetição, doença pulmonar obstrutiva crônica (enfisema pulmonar e bronquite crônica), fatores genéticos e história familiar de câncer de pulmão também favorecem o desenvolvimento desse tipo de câncer Getty Images ***foto-câncer-de-pulmão Outros fatores de risco são: exposição ocupacional a agentes químicos ou físicos, água potável contendo arsênico, altas doses de suplementos de betacaroteno em fumantes e ex-fumantes Getty Images ***foto-câncer-de-pulmão Os sintomas geralmente não ocorrem até que o câncer esteja avançado. Porém, pessoas no estágio inicial da doença já podem apresentar tosse persistente, escarro com sangue, dor no peito, pneumonia recorrente, cansaço extremo, rouquidão persistente, piora da falta de ar, diminuição do apetite e dificuldade em engolir Getty Images ***foto-câncer-de-pulmão O diagnóstico do câncer no pulmão é feito com a avaliação dos sinais e sintomas apresentados, o histórico de saúde familiar e o resultado de exames específicos, como a radiografia do tórax, tomografia computadorizada e biópsia do tecido pulmonar Getty Images ***foto-câncer-de-pulmão Para aqueles com doença localizada no pulmão e nos linfonodos, o tratamento é feito com radioterapia e quimioterapia ao mesmo tempo Getty Images ***foto-câncer-de-pulmão Em pacientes que apresentam metástases a distância, o tratamento é com quimioterapia ou, em casos selecionados, com medicação baseada em terapia-alvo Getty Images ***foto-câncer-de-pulmão A cirurgia, quando possível, consiste na retirada do tumor com uma margem de segurança, além da remoção dos linfonodos próximos ao pulmão e localizados no mediastino. É o tratamento de escolha por proporcionar melhores resultados e controle da doença Getty Images Voltar Progredir 0 Tratamento e recuperação do câncer Dona Elcina passou por uma cirurgia em abril para a retirada do tumor, seguida por três sessões de quimioterapia, a última realizada este mês. A pneumologista Gilda Elizabeth vê o prognóstico da paciente com otimismo. “Mesmo com tanto tempo de tabagismo, a lesão era ressecável e ela ainda parou de fumar. Quando o paciente larga o cigarro, os sinais vitais, a pressão arterial, frequência cardíaca, oxigenação e inflamação nos brônquios melhoram”, afirma a médica. A aposentada se recupera bem. Ela passará por novos exames esta semana para avaliação dos pulmões e garante que não quer mais saber de cigarro. “Depois do diagnóstico, nunca mais fumei. O fumo não presta. É um vício horrível. Se pudesse voltar no tempo 60 anos, voltava para ter o meu pulmão limpinho, mas infelizmente não dá”, conta. Receba notícias do Metrópoles no seu Telegram e fique por dentro de tudo! Basta acessar o canal: https://t.me/metropolesurgente. Notícias
Nova variante de gripe aviária aumenta o risco de transmissão para humanos 9 de setembro de 2023 Nos últimos anos, o risco da gripe aviária tem sido destaque na imprensa global devido à sua capacidade de mutação e ameaça potencial à saúde pública. Recentemente, pesquisadores identificaram um subtipo do vírus da gripe aviária, o H3N8, que está passando por modificações que podem aumentar o risco de transmissão… Read More
Remédio contra depressão pós-parto começa a ser vendido nos EUA 15 de dezembro de 2023 O remédio Zurzuvae, destinado a tratar a depressão pós-parto, começou a ser vendido nos Estados Unidos nesta quinta-feira (14/12). O princípio ativo da medicação é um hormônio semelhante à progesterona, que estimula a sensação de bem-estar. Criado pela Biogen, o medicamento custa cerca de 15 mil dólares por ciclo de… Read More
Notícias Conheça os benefícios do chá de folha de goiaba e como preparar bebida 26 de fevereiro de 2025 A goiaba é uma fruta versátil e nutritiva, frequentemente usada no preparo de sucos, doces e sobremesas. Mas você sabia que as folhas da goiabeira também são ricas em propriedades medicinais? Elas podem ser usadas para preparar um chá cheio de benefícios para a saúde. A nutricionista Carla de Castro,… Read More