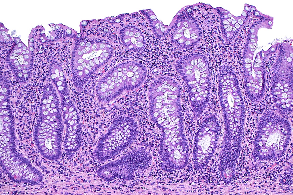
Saiba quais são os sintomas das doenças inflamatórias intestinais Ouvir 15 de outubro de 2025 Cada vez mais comuns devido à vida urbanizada da população, as doenças inflamatórias intestinais são condições autoimunes que causam sintomas graves. Divididos basicamente entre doença de Crohn e retocolite ulcerativa, os distúrbios causam diarreia frequente e impactam a qualidade de vida do paciente, que não consegue sair de casa. “Indivíduos que são suscetíveis geneticamente, quando têm contato com alguns fatores ambientais, podem desenvolver a doença inflamatória. Normalmente, essas pessoas manifestam sintomas como aumento no número de evacuações, sangue nas fezes e muco. Algumas apresentam emagrecimento, anemia, aftas na boca ou na região perianal”, explica o coloproctologista Rogerio Parra, professor da USP e diretor do Serviço de Doenças Inflamatórias e Intestinais do Hospital das Clínicas de Ribeirão Preto. Leia também Saúde Doenças inflamatórias intestinais não são mais raras e exigem atenção Saúde Doença de Crohn: quais são os sintomas da doença de Evaristo Costa Saúde Jovem com doença de Crohn chegou a evacuar 30 vezes por dia. Entenda Saúde Estamos inflamados? Saiba o que é o quadro e como controlar os efeitos Sintomas das doenças inflamatórias intestinais Diarreia que se repete mais de seis vezes ao dia, às vezes com sangue ou muco; Dor abdominal; Urgência para evacuar; Perda de peso sem explicação; Fadiga; Mudança no ritmo intestinal. Muitas pessoas têm vergonha dos sintomas, ou não os consideram algo grave, o que acaba atrasando em muitos meses o diagnóstico e início do tratamento. Existem várias medicações disponíveis, mas Parra conta que elas funcionam melhor entre seis e 12 meses do início dos sintomas. No Brasil, o diagnóstico pode demorar cerca de três anos. “É importante perder o pudor, procurar um especialista e fazer uma colonoscopia”, alerta o médico. As doenças inflamatórias intestinais são divididas basicamente em doença de Crohn e a retocolite ulcerativa Os gatilhos das doenças inflamatórias intestinais O gastroenterologista colombiano Fabian Juliao Baños, presidente da Organização Panamericana de Chron e Colite (Pancco), explica que uma dieta rica em ultraprocessados, com muita gordura, e uma rotina de pouco sono e exercício, cigarro, álcool e poluição parecem ser gatilhos para o desenvolvimento das doenças inflamatórias intestinais. “Há um componente genético de 15% ou 20%, mas 80% são fatores ambientais. Outros fatores, como mudança da microbiota intestinal e bactérias específicas, estão sendo estudados”, ensina o médico. Apesar dos sintomas complicados e o aumento dos casos, o presidente da PANCCO lembra que cerca de 70% dos casos são leves a moderados. Para evitar que se manifestem e piorem, é essencial alterar a rotina. “Temos visto que medidas saudáveis, sem ultraprocessados, pouco açúcar refinado, diminuem em cerca de 50% as chances de desenvolver a doença. É importante ter hábitos saudáveis”, afirma. Siga a editoria de Saúde e Ciência no Instagram e fique por dentro de tudo sobre o assunto! Notícias
Notícias Doença de Crohn: saiba sobre condição que levou ex-Menudo à morte 10 de julho de 2024 O ex-Menudo Adrián Olivares faleceu na última segunda-feira (8/7), aos 48 anos. O cantor mexicano havia sido diagnosticado com a doença de Crohn há uma semana e chegou a passar por uma cirurgia, mas teve complicações. A doença de Crohn é uma doença inflamatória séria do trato gastrointestinal, de origem… Read More
Ovo fortificado: veja diferenças nutricionais do alimento modificado 15 de janeiro de 2025 Em meio à popularização de dietas com muito consumo de ovo, como a feita pela BBB Gracyanne Barbosa, é preciso entender que nem todos os ovos têm o mesmo impacto na saúde nutricional. Enquanto o ovo comum ficou anos em idas e voltas com a ciência sobre se ele ser… Read More
Segredos dos centenários saudáveis e dos super centenários do Brasil 12 de julho de 2024 O conhecimento das características de pessoas que chegam aos 100 anos com saúde e disposição é uma área de interesse crescente da ciência. No laboratório de pesquisa que coordeno na Universidade de São Paulo (USP), o Centro de Estudos do Genoma Humano e Células-Tronco, estamos estudando centenários saudáveis e um… Read More